Ce este caria de biberon si cum pot fi prevenite complicatiile

Caria de biberon este o forma agresiva de carie, care apare din cauza obiceiurilor nesanatoase la copiii mici. Aceasta apare atunci cand ii dam copilului biberonul cu lapte sau alte lichide dulci, in exces.

Medicul dentist Floriana Tudorache a explicat la Digi 24 cum putem preveni si trata acest tip de carie la bebelusi.

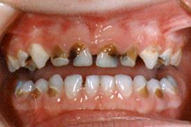
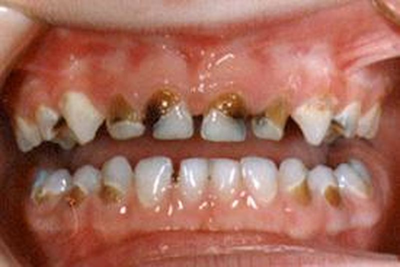
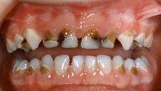
"Vorbim despre caria de biberon la leziunile carioase care apar pe dinţii de lapte, care apar foarte devreme, chiar înaintea vârstei de doi ani, chiar imediat după erupţia dinţilor temporari pe arcadă. Sunt leziuni care evoluează în suprafaţă foarte rapid. Sunt leziuni incipiente care sunt prezente pe faţa externă a dintelui ca nişte pete albe-cretoase. Cu cât ne prezentăm mai repede la stomatolog cu atât putem preveni complicaţiile.

Practic, aceste pete albe cretoase sunt pete de hipomineralizare, de obicei simetrice, care afectează incisivii centrali superiori, după care molarii unu, caninii şi ulterior molarii doi. Trebuie să ne prezentăm la cabinet pentru că se pot aplica geluri florate şi putem preveni complicaţiile.


Se recomandă să ajungem la cabinet cu copiii de la vârsta de un an. Astfel, împreună cu părinţii putem vedea dacă pacientul are obiceiuri nesănătoase. În momentul în care alimentăm copilul cu biberon, avem leziuni carioase în special pe incisivii centrali şi superiori.

Nu este contraindicată hrănirea cu biberonul. De fapt, prelungirea alimentaţiei cu biberon duce la carii. Lactoza din laptele matern este cariogenă. Cantitatea de lactoză din laptele de vacă este mult mai mică dar combinaţiile cu alimente îndulcite pot avea efect cariogen pe dinţii de lapte.


Important este periajul. În momentul în care au erupt dinţii, părinţii trebuie să perieze dinţii de lapte, încă de la primul dinte. Chiar înainte, trebuie să spălăm gingiile cu comprese învelinte pe deget, într-un tifon, înmuiat pentru a nu lăsa laptele în cavitatea bucală.

Practic, cavitatea noului născut este sterilă, microorganismele din cavitatea noului născut sunt din mediul înconjurător. Nu avem voie să înmânăm suzeta bebeluşului înmuiată în gura părintelui.
Nu avem voie să o punem în miere, deoarece toate au efecte cariogene.

În momentul în care cariile nu sunt tratate apar complicaţii- cariile dentare- şi astfel duce la abcesele care afectează sacul folicular al dintelui permanent. Atunci când pierdem un dinte temporar, dinţii vor migra şi vor închide spaţiul dintelui temporar şi vom avea tulburări de erupţie dentară pe dinţii permanenţi
", a spus aceasta.


Îți Recomandăm Și...
Parteneri