Obținerea unei ecografii în timpul sarcinii este aproape întotdeauna un lucru minunat care îi pregătește pe părinți să-și cunoască nou-născutul. Așteptarea bebelușului poate fi, însă, traumatică, dacă imaginea de la ecograf este neașteptată, cum este în cazul de față.
De cele mai multe ori, părinții sunt în extaz când văd imaginea neclară a unui omuleț care crește în interiorul uterului.
După ecografia de sarcină, mămicile sau tăticii postează cu bucurie fotografia pe rețelele de socializare.
Citește și: VIDEO. Vaticanul analizează un „miracol” petrecut la o biserică din Connecticut
Sunt și excepții, însă, potrivit Unilad.com. Astfel, cei care fac o scanare RMN a bebelușului care se va naște în curând au șanse bune să se sperie de ceea ce văd și să nu
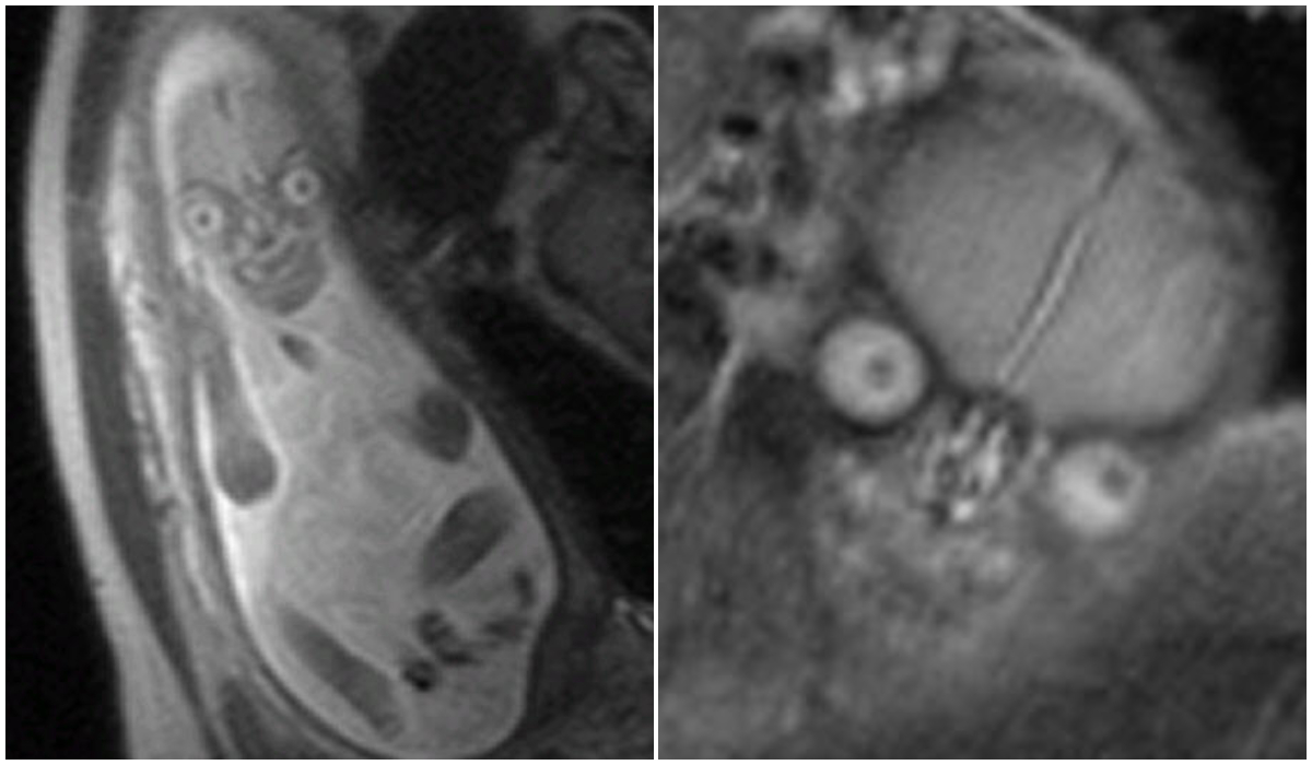
Imaginea care i-a speriat pe părinți
Spre deosebire de ecografia simplă, scanarea RMN oferă o imagine foarte diferită care adesea îi poate lăsa puțin șocați pe neinițiați.
Micuții din pântece arată de cele mai multe ori ca niște copii-demoni de pe altă planetă.
Imagini precum cele de mai jos devin adeseori virale pe rețelele de socializare, deoarece oamenii sunt cu adevărat îngroziți că un copil ar putea arăta așa.
O postare viralizată pe Twitter a atras reacții extreme din partea celor neavizați: „Nu vreau să cred că aceste imagini sunt reale. Nu sunt reale, nu-i așa?”
The real reason they discourage MRIs during pregnancy is because then people would realise they’re incubating nightmare demons and would be rightfully terrified pic.twitter.com/55zEeOofsP
— Katie (@ZiziFothSi) May 19, 2021
Un altul a adăugat: „Nu păcăliți pe nimeni, acesta este doar extraterestru din Mars Attacks!”
O femeie a scris în comentarii: „Am avut o scanare RMN când eram însărcinată în 8 luni și jumătate și nu m-au lăsat să-l văd pe cel mic. ACUM VĂD DE CE”.
Citește și: Ce a pățit un tânăr de 20 de ani care a băut zilnic 2 litri de energizante pe zi
Fotografiile au fost atât de bizare încât site-ul web de verificare a faptelor Snopes a făcut o investigație pentru a vedea dacă sunt reale.
Ei au concluzionat că imaginile sunt cu siguranță exacte și chiar au vorbit cu un asistent de cercetare absolvent și doctorand la Universitatea din Wisconsin.
Explicațiile date de medici
Cercetătorul Jason Moody folosește tehnologia RMN pentru a studia modificările creierului legate de vârstă și le-a spus jurnaliștilor de la Snopes că aceste imagini "cu aspect diabolic" arată ce fac mai bine aceste aparate.
„RMN-ul ne ajută să diferențiem diferitele tipuri de țesut moale găsite în corp și noi suntem în mare parte țesut moale. Amintiți-vă, suntem în mare parte apă”, a spus Moody.
„Una dintre caracteristicile principale ale acestor imagini este diferențele substanțiale de semnal între ochi, creier, nas și restul feței.”
Cum diferă imaginea RMN de cea de la ecograf
Un aparat RMN „folosește câmpuri magnetice și unde radio” pentru a face o mulțime de imagini în secțiune transversală ale corpului.
Scanarea le oferă medicilor și părinților o idee bună despre modul exact în care arată copilul.
Un RMN ar putea fi comandat pentru făt pentru a „evalua anomaliile din creierul, coloana vertebrală și corpul copilului”, potrivit Spitalului de Copii din Philadelphia.
Iată imaginile RMN cu evoluția unui bebeluș pe site-ul Harvard University.
Concluzia specialiștilor: dacă așteptați un copil și medicul spune că aveți nevoie de o scanare RMN, nu fiți șocați când bebelușul va arăta în imagini ca un extraterestru.