Amira, "experimentul doctorului Burnei", a aflat ca are doua pareze la piciorul stang! Mama fetei sustine ca tanara a ajuns in aceasta situatie din cauza traumelor din timpul tratamentului

Amira, tanara de 19 ani care a fost operata de 11 ori de medicul Gheorghe Burnei, a descoperit alte afectiuni de care sufera, dupa interventiile facute de acesta.

Amira, „experimentul doctorului Burnei”, cum a fost ea numita de presa, a fost pacienta celebrului medic inca de la varsta de un an, cand a fost operata prima oara pentru o luxatie de sold. In prezent, se deplaseaza cu greu si doar in carje. Cazul Amirei a fost cel de la care a inceput scandalul in cazul doctorului Burnei, dar si investigatia procurorilor.


Zilele trecute, Amira a efectuat o investigatie la nivelul nervilor periferici si o evaluare a activitatii musculare, numita electroneuromiografie.
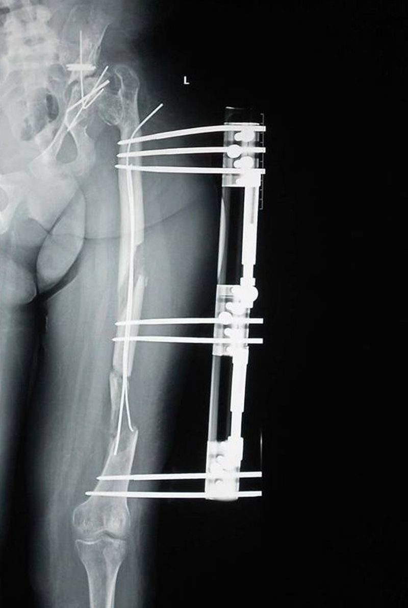
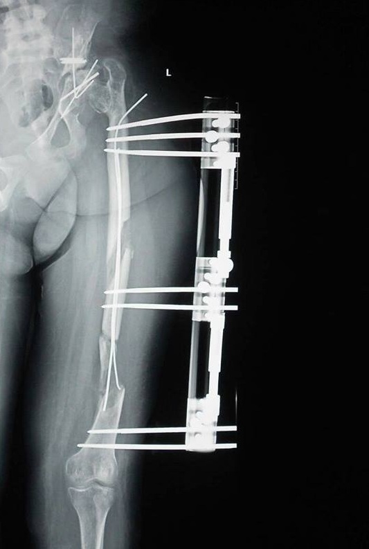
Verdictul medicilor nu a fost deloc unul imbucurator: fata are pareza de nervul femural si la cel peronier profund. Mama tinerei spune ca aceste probleme au fost provocate de fixatorul extern folosit de doctorul Burnei, pentru alungirea membrului stang, care ramasese cu 8 centimetri mai scurt decat cel drept. Fixatorul folosit de Gheorghe Burnei e alcatuit dintr-o tija metalica aplicata pe picior, care fixeaza osul printr-un soi de suruburi care patrund direct prin carnea pacientului.
Amira a avut, in total, 14 gauri in picior.

Este posibil ca Amira sa mai aiba nevoie de alte operatii prin care sa-i fie inlocuite tendoane pentru a facilita utilizarea piciorului stang, insa este greu de crezut ca tanara va mai putea vreodata sa mearga normal. 


Îți Recomandăm Și...
Parteneri