Ce a pățit un bărbat care a fumat timp de 30 de ani. "I-a crescut păr în gât, e o complicație rară a fumatului"

Un bărbat care a fumat câte un pachet de țigări pe zi timp de 30 de ani s-a confruntat cu un simptom foarte rar al viciului său: a început să-i crească păr în gât. "E o complicație rară a fumatului", spun medicii.

Pacientul, originar din Austria, a mers prima data la medic în 2007, acuzând voce răgușită, probleme de respirație și o tuse cronică.

Citește și: "Am renunțat de 6 luni la alimentele procesate și la zahăr. Ce s-a schimbat în corpul meu?" Cele 3 alimente consumate zilnic de Stefan Rhys, un blogger cunoscut din Țara Galilor

Bărbatul le-a spus doctorilor că a început să fumeze de la 20 de ani și fumează aproximativ un pachet pe zi, potrivit Daily Mail.

Cum i-a apărut părul în gât fumătorului din Austria

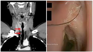
După ce au aflat ce simptome are, medicii au efectuat o procedură care le-a permis să introducă o cameră video de mici dimensiuni pe căile respiratorii ale pacientului și au descoperit că acestuia îi crescuseră mai multe fire de păr într-o zonă din gâtul lui pe care acesta suferise anterior o operație.

La prima prezentare la spital, doctorii au reușit să îndepărteze firele de păr, însă acestea au continuat să crească și pacientul s-a întors la spital în următorii 14 ani cu aceleași simptome.

Afecțiunea a fost eliminată doar după ce bărbatul, acum în vârstă de 52 de ani, a renunțat la fumat și medicii i-au ars celulele de păr din gât, ceea ce le-a împiedicat să se regenereze.

Bărbatul, originar din Austria, a fost diagnosticat cu creșterea părului endotraheal, sau creșterea părului în gât.

Fire de 5 cm lungime în gât

Afecțiunea este extrem de rară, fiind foarte puține cazuri înregistrate în literatura de specialitate. Cauzele sunt neclare, dar în acest caz medicii au susținut că apariția firelor de păr fusese declanșată de fumat.

Experții au spus că fumatul poate provoca inflamații ale țesutului din gât, ceea ce poate face ca celulele stem să se transforme în foliculi de păr – sau într-un grup de celule și structuri care cresc părul.

La fiecare control medical, în gâtul omului se regăseau șase până la nouă fire de păr de aproximativ 5 centimetri, unele reușind să treacă prin cutia vocală și să-i treacă în gură.

Dezvăluind cazul în American Journal of Case Reports, medicii au declarat: „Presumăm ipoteza că debutul creșterii părului a fost declanșat de fumat. Acest obicei a indus și stimulat creșterea părului endotraheal. Însă, această presupunere nu poate fi dovedită din cauza rarității unor astfel de cazuri”.

Pacientul a scăpat de părul din gât când s-a lăsat de fumat

Medicii au precizat că pacientul trecuse printr-un eveniment foarte ciudat la vârsta de 10 ani, când a fost pe punctul să se înece.

A suferit o operație la trahee și i-a fost implantat un tub de aer pentru a putea respira.

Ulterior, această secțiune în trahee a fost închisă folosind cartilaj și piele de la ureche. În zona operată i-a apărut păr în gât care a continuat să apară an de an până când pacientul s-a lăsat de fumat.


Autor
Îți Recomandăm Și...
Parteneri