1 din 5 | Cum îţi dai seama că ai fost infectat cu Covid-19? Un medic a dezvăluit ce simptome a avut în fiecare zi după diagnosticare
2 din 5 | Cum îţi dai seama că ai fost infectat cu Covid-19? Un medic a dezvăluit ce simptome a avut în fiecare zi după diagnosticare
3 din 5 | Cum îţi dai seama că ai fost infectat cu Covid-19? Un medic a dezvăluit ce simptome a avut în fiecare zi după diagnosticare
4 din 5 | Cum îţi dai seama că ai fost infectat cu Covid-19? Un medic a dezvăluit ce simptome a avut în fiecare zi după diagnosticare
5 din 5 | Cum îţi dai seama că ai fost infectat cu Covid-19? Un medic a dezvăluit ce simptome a avut în fiecare zi după diagnosticare
Un doctor din Spania infectat cu coronavirus și-a prezentat simptomele, pe internet, pentru a le arăta tuturor că nu este deloc de glumit cu Covid-19.
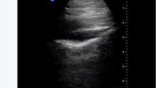
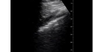
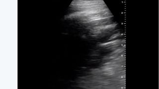
Medicul a arătat și cum i-a afectat temutul virus plămânii în numai câteva zile, dar și de decizie a luat atunci când a aflat că este infectat.
În vârstă de 35 de ani, medicul Yale Tung Chen a aflat că are COVID-19 în timp ce își trata pacienții la Spitalul Universitar „La Paz” din Madrid.
În plus, pentru a arăta cât de gravă este situația, medicul Chen a postat și footgrafii ale plămânilor săi.
„Ziua 1 după ce am fost diagnosticat cu COVID-19. Durere în gât, durere de cap puternică, tuse seacă, dar fără dificultate respiratorie. Fără anormalități la plămâni, la ecografie”, a scris el, în primul astfel de mesaj.
În cea de-a doua zi de autoizolare, medicul a scris: „Ziua 2 după ce am fost diagnosticat cu COVID-19. Durere mai slabă în gât, tuse și durere de cap, fără dificultăți respiratorii sau durere în piept”.
Vezi pe kfetele.ro ce s-a întâmplat în ultimele zile și ce hotărâri a luat medicul în legătură cu familia sa.