Doctorul Burnei, experimente pe copiii de la orfelinat? O noua acuzatie socanta lansata de mama Amirei, fosta pacienta a celebrului chirurg ortoped

Emiliana, mama Amirei, victima medicului Gheorghe Burnei, sustine, intr-o postare pe contul ei de Facebook, faptul ca celebrul chirurg a experimentat operatia cu BVC (biovitroceramica) pe 4 copii de la un orfelinat.

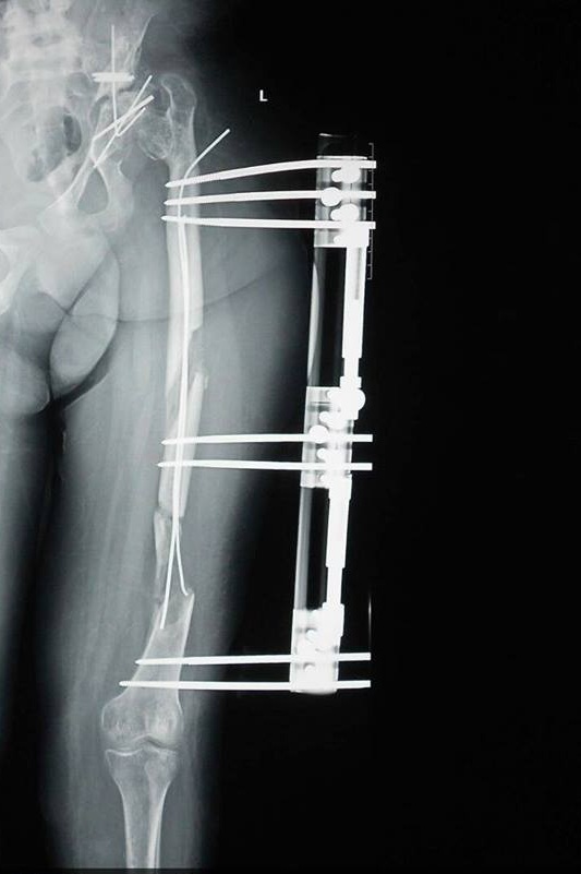
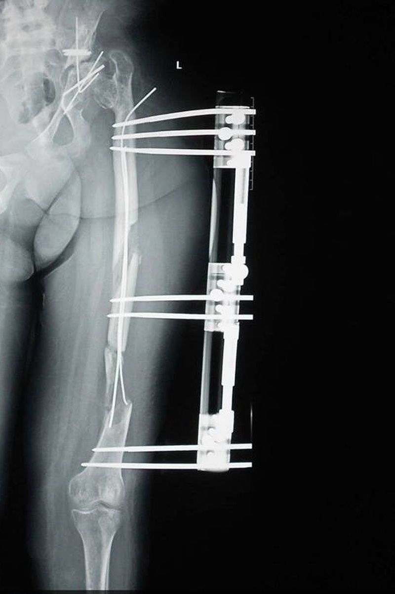
Intregul scandal legat de profesorul Gheorghe Burnei, medicul acuzat ca a facut experimente pe copii saraci, a avut in prim-plan cazul Amirei, o tanara care in ultimii 18 ani a fost operata de 11 ori de celebrul chirurg si a ajuns sa nu mai poata merge. „Experimentul” despre care se vorbeste in articolul de la care a inceput ancheta se numeste Biovitroceramica, omologat (conform casajurnalistului.ro) doar in stomatologie sau diverse tumori osoase.

In cazul Amirei, Burnei avea de efectuat o operatie simpla, de indreptare a bazinului, insa a preferat sa sparga osul si sa-i puna respectivul implant.

Mama Amirei sustine, intr-o postare pe contul ei de Facebook, faptul ca medicul Burnei isi „facea mana” pe copiii de la un orfelinat din Capitala. Ea afirma ca acest lucru se intampla in urma cu 18 ani, iar copiii din orfelinat erau „legati de pat”.

„Da, asa este, Amira nu avea indicatia pentru acea bucata de BVC. Si da, este adevarat ca mai sunt copii carora le-a pus acea bucata. Mama mea a primit bani pentru inca patru implanturi care au ajuns in soldurile a patru copii care erau la orfelinat. Si chiar el i-a spus mamei mele ca vrea sa ii faca bine si pe cei de la casa de copii”, a scris doamna Emiliana pe contul ei de Facebook.

Pentru ca nu era foarte clar ce s-a intamplat din prima postare, femeia a revenit cu explicatii. „Deci Burnei a trimis-o pe mama la un inginer pe nume Negreanu. I-a dat adresa unde sa ajunga banii pentru inca 4 implanturi, spunandu-i mamei mele ca le va folosi pentru cei de la orfelinat ca sa ii faca si pe ei bine. Mama a venit si mi-a zis ce bun si sufletist este, ca are mila de cei amarati si fara parinti.

Si eu chiar am crezut.(...). Da, chiar erau legati de pat; si eu i-am vazut in urma cu 18 ani. Era un salon mare si avea un geam mare si ii puteai vedea. Deci el a facut experimente cu acea bucata si pe alti copii”, a mai spus femeia.


Autor
Îți Recomandăm Și...
Parteneri