Numărul cazurilor de infecţie cu virusul West Nile din acest sezon a ajuns la 60

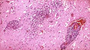
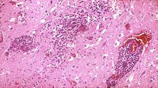
Numărul cazurilor de infecţie cu virusul West Nile înregistrate în acest sezon a ajuns la 60, dintre care cinci decese. Cele mai multe azuri au fost semnalate în Bucureşti.

 

Potrivit Centrului Naţional de Supraveghere şi Control al Bolilor Transmisibile (CNSCBT), în perioada 3 iunie- 3 octombrie au fost înregistrate 60 de cazuri de infecţie cu virusul West Nile.

În această perioadă, s-au înregistrat cinci decese, în judeţele Călăraşi, Constanţa, Buzău, Iaşi şi Vrancea.

Cinci cazuri au fost la persoane cu vârsta între 30 şi 39 de ani, şapte la categoria de vârstă 40-49 de ani, şase la persoane cu vârste între 50 şi 59 de ani, 21 de cazuri la categoria 60-69 de ani, 13

la persoane între 70 şi 79 de ani, iar opt cazuri la persoane de peste 80 de ani.

Citeste si: Alte 40 de cazuri nou-confirmate de rujeolă au fost raportate în ultima săptămână

Citeste si: O adolescentă de la un centru de plasament, dată dispărută, după ce a plecat de la şcoală şi nu s-a mai întors- FOTO

Citeste si: Date despre starea persoanelor rănite în accidentul din Ialomiţa. Un pacient cu suspiciune de fractură de coloană este adus cu elicopterul la Bucureşti de la spitalul din Slobozia

În funcţie de zona de expunere, cazurile au fost înregistrate în judeţele: Călăraşi (8 cazuri), Constanţa (6 cazuri), Iaşi şi Tulcea (câte 4 cazuri), Galati (3 cazuri- unul având expunerea atât în Galaţi, cât şi în Tulcea), Argeş, Buzău, Olt, Teleorman, Vrancea şi Mureş (câte două cazuri.

În Mureş, unul dintre cazuri a avut expunere şi în Constanţa), Botoşani, Dolj, Ilfov, Prahova, Vaslui, Suceava, Satu Mare (câte un caz), în timp ce în municipiul Bucureşti au fost 16 cazuri.

Specialiştii recomandă populaţiei să evite expunerea la ţânţari, purtând îmbrăcăminte cu mâneci lungi şi pantaloni lungi, să utilizeze substanţe chimice repelente împotriva ţânţarilor şi substanţe insecticide în locuinţă şi în jurul acesteia, să împiedice pătrunderea ţânţarilor în casă (plase de protecţie la ferestre), să asigure desecarea bălţilor de apă din jurul gospodăriei, să îndepărteze recipientele de apă stătută şi gunoiul menajer.


Autor
Îți Recomandăm Și...
Parteneri