O femeie din Suceava si-a injunghiat iubitul, apoi a dat vina pe altcineva

O femeie de 45 de ani, din satul sucevean Clit, a fost arestata pentru 30 de zile, pentru ca si-a injunghiat concubinul.

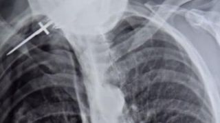
Incidentul a avut loc pe 11 iunie, cand femeia a sunat la 112 si a anuntat ca iubitul ei a fost injunghiat cu un cutit in spate, de un allt barbat. Varianta femeii a fost sustinuta si de victima, spunand ca nu a recunoscut persoana care l-a injunghiat.

In urma verificarilor facute de politisti s-a constatat ca barbatul a fost injunghiat de iubita lui, in urma unui conflict, dupa ce au amandoi au consumat bauturi alcoolice, noteaza suceavanews.ro.


Autor
Îți Recomandăm Și...
Parteneri