Stiri Actuale
Varsa incontinuu si a ajuns la spital cu dureri de stomac. Medicii au inceput sa tipe cand au vazut: "Asa ceva nu vom mai vedea niciodata!"
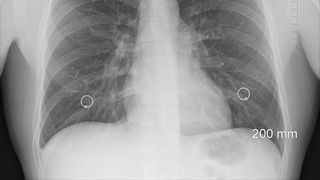
Un incident bizar a avut loc in India. Acolo, o echipa de medici au avut socul vietii in momentul in care au facut o descoperire care i-a lasat fara aer. Un pacient al carui nume nu a fost dat publicitatii a fost supus unei operatii care a durat o ora si 45 de minute, dupa ce ingurgitase 639 de cuie.
Medicii au fost nevoiti sa faca o incizie de 10 centimetri in abdomenul lui, iar apoi au folosit magneti. Se pare ca doar un miracol a facut ca aceasta cantitate considerabila de cuie sa nu-i perforeze sistemul digestiv, potrivit rol.ro.
Barbatul suferea de o boala mintala, iar in prezent este in stare stabila si se afla sub observatie. Un...