Ideea ingenioasă a unui tânăr din Timișoara: aplicația care citește radiografiile

Ideea ingenioasă a unui tânăr din Timișoara: aplicația care citește radiografiile

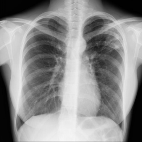
Un tânăr inginer din Timișoara a creat o aplicație care revoluționează lumea medicală: a creat o aplicație care poate citi pe loc rezultatul unei radiografii.

Marele avantaj constă în faptul că pacienții pot afla verdictul mult mai ușor, fără să mai aștepte ore în șir o veste din partea medicilor.

Ideea timișoreanului a venit în momentul în care s-a prezentat pentru a-și face o radiografie, îngrijorat fiind de durerile tot mai dese pe care le avea la nivelul pieptului.

Citeste si: Şase locuinţe din Arad, afectate de un incendiu după explozia unei butelii

Atunci a creat și aplicația, cu ajutorul căreia a aflat în doar câteva minute că nu este nimic grav, de vină fiind oboseala. În mod normal, pacientul ar fi așteptat ore bune rezultatul.

Citeste si: Papanași. Cea mai deliciosă rețetă tradițională

Aplicația tânărului se bazează pe doi algoritmi care pot citi radiografia pe loc: "Rezultatul apare aproape instant.

Pe această radiografie puteţi observa o leziune destul de mare. Algoritmul ne indică mai multe probleme printre care tuberculoza. Utilitatea cea mai mare va fi în gărzi pentru că volumul de investigaţii e din ce în ce mai mare".

Citeste si: Ultima inselatorie care circula pe aplicatiile mobile! Aveti mare grija!

În medie, 200 de pacienți așteaptă zilnic rezultatul radiografiilor.

Tânărul spune că odată cu această aplicație, oamenilor le va fi mai ușor să afle rezultatul din partea medicilor.

 

 


Autor
Îți Recomandăm Și...
Parteneri