Planeta este lovită de o nouă boală. Cercetătorii susțin că este mai mortală decât COVID-19

Planeta este lovită de o nouă boală. Cercetătorii susțin că este mai mortală decât COVID-19. Anunțul șocant a fost făcut.

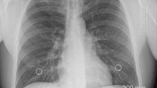
Planeta este lovită de o nouă boală. Cercetătorii susțin că este mai mortală decât COVID-19. Asia Centrală trece prin momente greu de descris. Noul tip de pneumonie ar fi ucis în acest an peste 1.700 de oameni în Kazahstan, conform oficialilor chinezi.

Cazurile au început să se înmulțească de la începutul lunii iunie. Astfel că medicii se confruntă cu sute de cazuri noi pe zi. Cele mai mari focare sunt în Atyrau, Aktobe și Shymkent.

Acesea adună peste 500 de cazuri noi și peste 30 de pacienți în stare critică, relatează oficialii ambasadei într-un comunicat pentru cetățeni.

„Această boală este mult mai mortală decât Covid-19. Departamentul de Sănătate din Kazahstan și alte agenții efectuează cercetări comparative și încă nu au definit natura acestei pneumonii", a precizat Ambasada Chineză din Kazahstan într-un comunicat pentru cetățeni.

Planeta este lovită de o nouă boală. Cercetătorii susțin că este mai mortală decât COVID-19

Luna aceasta, cazurile de de pneumonie din capitala Nurusultan s-au dublat, față de anul trecut.

Șeful Departamentului de asistență medicală susține că peste 300 de persoane au fost internate în spital, în ultimele zile, iar alte victime ale bolii sunt tratate la domiciliu.

Ambasada Chinei recomandă populației să se deplaseze din ce în ce mai puțin și să evite zonele aglomerate.

CNN a cerut informații de la Ministerul Sănătății din Kazahstan, întrucât nu au putut verifica independent raportul Ambasadei Chinei.

Citeste si: Aglomerație mare spre litoral. Anunțul de ultimă oră al polițiștilor

Citeste si: Animalul erou care alăptează 18 pui. Imagini inedite cu celebra cățelușă

Citeste si: Orban: „Suntem într-un moment în care ori cresc infectările, ori reuşim să stăvilim epidemia”

Statul din Asia Centrală continuă în paralel și lupta cu Covid-19. Până în prezent sunt confimate 53.021 de cazuri, iar 264 de oameni au murit în urma infectării cu coronavirus.

Citeste si: Raed Arafat, lista activităților interzise, după ce a crescut numărul cazurilor de infectați: „Sunt considerate cele mai periculoase”

Nursultan Nazarbayev, președintele Kazahstanului, a fost găsit luna trecută cu noul coronavirus.

Autoritățile au adoptat o nouă serie de măsuri pentru a combate creșterea masivă a noilor cazuri.


Autor
Îți Recomandăm Și...
Parteneri