Un vierme uriaș, găsit în creierul unei femei. "Este viu. Vom vedea tot mai multe cazuri de acest fel"

Un caz medical aproape incredibil a avut loc în Australia, unde o femeie a făcut mai multe vizite la spital acuzând o serie de simptome neplăcute, până când medicii au găsit un vierme care trăia în creierul ei.

Medicii o tratau pe femeia în vârstă de 64 de ani începând din 2021, cu steroizi și alte medicamente pentru pneumonie, dureri abdominale, diaree, tuse uscată, febră și transpirații nocturne.

Toate aceste simptome deranjante s-au păstrat luni întregi, iar medicii nu au reușit să găsească un diagnostic corect.

Citește și: "Am studiat peste 5.000 de experiențe la limita morții". Un medic oncolog a ajuns la o concluzie fermă despre "viața de după moarte"

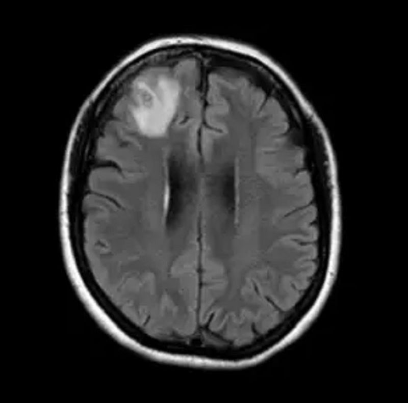
În cursul anului 2022, femeia prezenta și semne de depresie și uitare, așa că medicii au realizat o scanare RMN a creierului ei, care a scos la iveală diverse anomalii.

Citește și: Un ofițer român a fost decapitat într-un port din China

Imaginea de la RMN i-a determinat pe medici să recomande o intervenție chirurgicală, potrivit The Guardian.

Cum a decurs operația pe creier

Medicii neurochirurgi au avut parte de o surpriză uriașă în timpul operației pe creier. 

„Neurochirurgul cu siguranță nu a intrat acolo gândindu-se că va găsi un vierme viu”, a declarat pentru Guardian dr. Sanjaya Senanayake, specialist în boli infecțioase din Canberra.

Dr. Senanayake a fost chemat să investigheze cazul când unul dintre chirurgi l-a sunat și i-a spus: „O, Doamne, n-ai crede ce tocmai am găsit în creierul acestei doamne – și este viu”.

Ce este infecția cu viermii Ophidascaris 

„Biata pacientă, a fost atât de curajoasă”, a spus Senanayake. „Nu vrei să fii primul pacient din lume cu un vierme care trăiește în pitoni găzduit de creierul tău. Chiar ne dăm jos pălăria în fața ei. A fost minunată”.

Viermele era viu și măsura nu mai puțin de 8 cm.

Această infecție, prima de acest fel, evidențiază modul în care bolile întâlnite anterior doar la animalele sălbatice se deplasează rapid în populațiile umane. Și viermii Ophidascaris se găsesc în toată lumea, nu doar în Australia.

„Din infecțiile emergente la nivel global, aproximativ 75% sunt zoonotice, ceea ce înseamnă că a existat transmitere din lumea animală la lumea umană. La fel s-a întâmplat și cu coronavirusurile”, a spus Senanayake.

Este posibil să vedem tot mai multe astfel de infecții în viitor

„Această infecție cu Ophidascaris nu se transmite între oameni, așa că nu e cazul ca acest pacient să poată provoca o pandemie precum COVID-19 sau Ebola”, a spus el.

„Cu toate acestea, acest tip de șarpe și parazitul din el se găsesc și în alte părți ale lumii, așa că este probabil ca și alte cazuri să fie recunoscute în anii următori în alte țări.”

Femeia din acest caz ciudat, raportat pentru prima dată de Centrele pentru Controlul și Prevenirea Bolilor, se descurcă acum mai bine, deși are încă unele simptome neplăcute, a mai spus Senanayake.

„Neurochirurgii se confruntă în mod regulat cu infecțiile din creier, dar aceasta a fost o descoperire unică. Nimeni nu se aștepta să găsească așa ceva.”


Autor
Îți Recomandăm Și...
Parteneri