Un gest teribilist la băutură l-a dus la o vizită rușinoasă la spital

Un gest teribilist la băutură l-a împins pe un bărbat de 47 de ani să ajungă de urgență la spital și să fie pus pe masa de operație, după zile în care s-a chinuit singur acasă, de rușine să dea cu ochii de personalul medical.

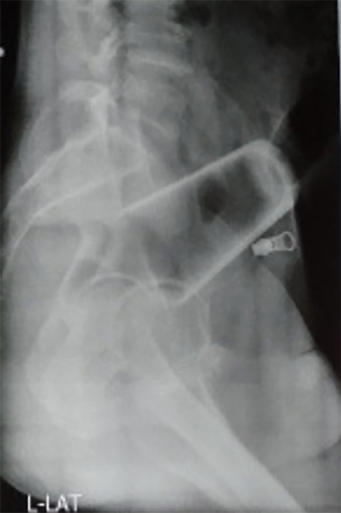
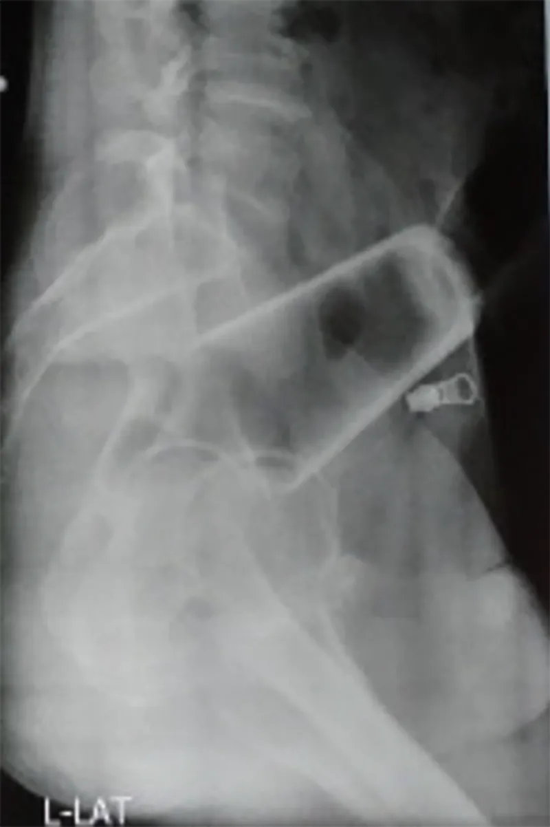
Un bărbat în vârstă de 47 de ani a suferit dureri extreme și a avut nevoie de o intervenție chirurgicală după ce și-a introdus un pahar de sticlă în rect.

Citește și: A murit Ionuț, tânărul de 31 de ani care a stat în comă, în urma unei dureri de măsea

Bărbatul a ajuns la serviciul de urgență recunoscând că obiectul se afla în el de trei zile, potrivit NY Post.

Pacientul, prins cu minciuna: cum a ajuns paharul în rect?

Inițial, bărbatul din Nepal a spus că paharul a ajuns în anusul său accidental, înainte de a recunoaște că a introdus el însuși paharul pentru a obține satisfacție sexuală în timp ce se afla în stare de ebrietate.

Citește și: VIDEO. Pantera cu piele de șarpe, virală pe internet. Adevărul despre „cea mai rară specie de feline de pe Pământ”

Bărbatul le-a spus medicilor că a sperat că paharul va ieși singur în cele din urmă și că i-a fost rușine să meargă la spital.

Potrivit Journal of Nepal Medical Centre, pacientul nu mai ieșise la toaletă de două zile, dar a putut să elibereze aere și nu a avut sângerări.

Citește și: Fotomodelul cu cea mai ciudată fobie. "Am leșinat după 2 săptămâni în care nu am mers la toaletă"

Din cauza durerilor tot mai puternice, nepalezul teribilist a apelat la serviciul de urgență.

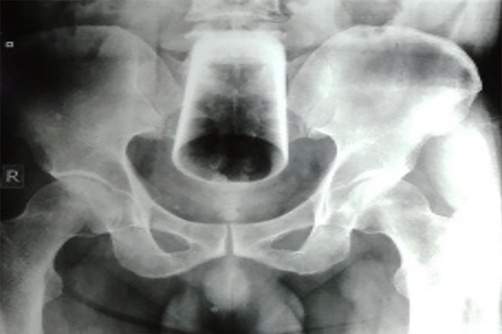
Bărbatul a spus că a încercat să scoată singur sticla, dar nu a reușit. După ce i-au făcut o radiografie, medicii au încercat să îndepărteze paharul fără operație, dar nu au reușit să-l extragă, deoarece era inversat.

Teribilistul a ajuns pe masa de operație

Personalul medical a efectuat apoi o laparotomie exploratorie, care este o intervenție chirurgicală de deschidere a abdomenului.

Intervenția medicală extrem de neobișnuită a ajuns în Journal of Nepal Medical Association. „S-a încercat absorbirea paharului prin anus, dar acest lucru nu a reușit, deoarece paharul era sus, răsturnat și strâns încastrat”, au explicat medicii.

Citește și: Ce a pățit o italiancă de 69 de ani după ce s-a despărțit de iubitul român, cu 33 de ani mai tânăr. "Nu am suportat să meargă la azilul de bătrâni"

A fost nevoie de o intervenție și mai complicată: „De aceea s-a făcut enterostomia sigmoidă și s-a extras paharul de sticlă”.

O enterostomie este incizia chirurgicală într-un intestin, care au permis medicilor accesul direct la obiectul de sticlă.

Recuperare dificilă după auto-mutilare

Bărbatul a rămas în spital timp de șapte zile, recuperându-se în urma incidentului. Două luni mai târziu, la o programare de urmărire, medicii au spus că este bine și și-a revenit complet.

Citește și: O polițistă de 35 de ani, obligată la acte amoroase cu colegii de secție ca "ritual de inițiere"

Medicii atrag atenția că motivul cel mai frecvente pentru ca un obiect străin să ajungă înțepenit în anus este satisfacția sexuală. Simptomele comune sunt durerea abdominală, constipația și sângerarea rectală.

De obicei, oamenii încearcă să îndepărteze ei înșiși obiectul de mai multe ori înainte de a se prezenta la spital.

Citește și: Ce sunt "abrosexualii" și ce înseamnă noul tip de sexualitate


Autor
Îți Recomandăm Și...
Parteneri